Mike Tabor's Blog
December 31, 2014
WISHING YOU THE BEST FOR 2015!!

Thanks to friends, fans, and fellow forensics lovers around the U.S. for a fantastic year. We’ve continued a busy speaking schedule around the country, and have had a chance already to speak at several writer’s conferences such as "Sleuthfest, International Thriller Writer’s Conference," and "Mystery Writers of America." Check out our website to see our media exposure for this year. We’re proud!
Our programs with Drs. Dick Weems (UAB), Dr. Murray Marks (UT), and Dr. Bill Bass (Body Farm) have catapulted into a new and exciting adjunct to our forensic schedule. The University of Tennessee Medical Center’s College of Graduate Medicine will offer the first postgraduate master’s degree program in forensic human identification in the US. What a more ‘natural’ place to begin a program like this than at the world renowned ‘Body Farm’. I’ll be in Knoxville a couple days a month this next year to launch that exciting forensics program!
We are happy to have completed our second forensics novel, another in the Dr. Chris Walsh series of forensic dental identification. It, like the 2013 title, Walk of Death, is based on true case files we’ve worked on over the years. This one is entitled, Out of the Darkness, and follows Dr. Walsh as he tries to solve one of Arkansas’ most gruesome murders, including the identification of human bite marks on the victim’s body. Follow their twisted course, as bodies are exhumed for reautopsy, murder trials are appealed, and new forensic science offers a promising hope to nab the real killer before the one on death row is electrocuted!
This year, we were fortunate enough to have been signed with an agent, Jill Marr, of the Sandra Dijystra Literary Agency in Del Mar, California. We are presently in the edit stage of the manuscript before the pitch to the publishing world. So our chances of marketing this book on a larger scale should be greatly improved. That’s the good news!
The bad news is that things tend to happen much more slowly than in the self-publishing world. But it ‘is what it is,' so we’re learning how to be patient for now! Will be sure to keep you guys posted this next year as things progress. By mid-January, 2015, we should be beginning the third in the series, entitled, Grave Mistake.
We’ll be on the road a fair amount in 2015 with scheduled speaking engagements in Chattanooga, Knoxville, Oak Ridge, Orlando, Ft. Lauderdale, central Illinois, and New York. If any of you guys will be in those areas, please stop by and say hello!
We so appreciate your support and interest. Will try to keep you informed as often as possible on Facebook. It’s a really exciting time in the real world of forensic science! mt
November 21, 2014
Forensic Dentistry Fellowship Announcement

We've had a lot going on here and I'm excited to share some new professional developments that have taken place. I was recently appointed Clinical Assistant Professor in the department of General Dentistry for the University of Tennessee Graduate School of Medicine! I'm thrilled to be a part of this exceptional program and look forward to working with everyone there.
Here is the full announcement that was issued as well as the announcement of our first fellow to participate in the program:
Forensic dentistry, sometimes used to aid in solving criminal cases involving bite marks, is the method of identifying people through the unique characteristics of their dental structures. While these techniques are often featured in crime scene dramas, there are only just over 100 dental experts in the United States and Canada certified by the American Board of Forensic Odontology. The requirements for board certification are rigorous, and until now an academic-based program for dentists has not been available in the United States.
Using resources available through the Regional Forensic Center, the Department of General Dentistry has launched the first Forensic Dentistry Fellowship, chaired by O. Lee Wilson, DMD. Paige Smalley, DMD, Dentistry Residency alumnus, is the first fellow to participate in the one-year program. She said that board certification is a four-year process, but using the knowledge and advanced expertise gained from this program, she hopes to earn board certification.
Under the guidance of Murray Marks, PhD, Associate Professor of General Dentistry and Regional Forensic Center forensic anthropologist, the program will expose Dr. Smalley to the training she needs including workshops on Civil Litigation, Age Estimation, Disaster Victim Dental Identification, and Bite Mark Analysis. The fellow must also complete 30 dental identifications including oral autopsies and bite mark analysis. The Forensic Dentistry Fellowship will also include didactic training with rotations in Pathology, Radiology and Forensic Pathology.
Dr. Smalley will also participate in a research project with Dr. Marks and William Bass, PhD, founder of UT’s forensic anthropology program, looking at the length of time it takes the periodontal ligament to decompose, which releases the teeth from the alveolar bone after exposure to a variety of natural elements such as temperature. The goal of this project is to provide forensic experts with another tool to determine approximate time since death.
In addition to Dr. Marks and Dr. Bass, Forensic Dentistry Fellowship faculty include Mike Tabor, DDS, and Richard Weems, DMD. Dr. Tabor is Chief Forensic Odontologist for the office of the state medical examiner for Tennessee and Davidson County in Nashville. He has served as president of the American Board of Forensic Odonotology, as well as section chairman and Fellow of the American Academy of Forensic Science. He is presently a consultant to the Criminal Investigation Division for the Tennessee Bureau of Investigation. He has now been appointed as Clinical Assistant Professor in the department of General Dentistry.
Dr. Weems is retired Associate Professor of Dental Radiology at University of Alabama School of Dentistry in Birmingham, Alabama. He now serves as chief forensic odontologist for the Office of the Medical Examiner of Jefferson County in Birmingham. He is current president of the American Society of Forensic Odontology and past odontology chairman of the American Academy of Forensic Science and secretary of the American Board of Forensic Odontology. He is now Associate Clinical Professor in the department of General Dentistry.
Dr. Smalley said she did not aspire to be a forensic odontologist when she went to dental school, but she developed an interest in the field through exposure during her residency program. She said that she sees dental identification as a way to use her skills and expertise to help families.
"I find it interesting that by using something as little and unique as a tooth, I can help families identify a loved one," she said.
To visit the website click here.
October 22, 2014
What a blessing it is to help the children of Haiti!
Some of you folks may have heard about the medical mission trip a group of us went on two weeks ago. Nearly 20 of us survived 90+ degree temperatures and 3 lost I-Phones to help the kids/adults of Haiti. Words are difficult to describe what it feels like to visit these precious people. They are so appreciative of all that is done for them. We had two physicians, two dentists, several nurses, and many volunteers helping give medical care to those in need.
These people are the poorest of the poor, and yet they are so gracious, loving and appreciative with a beautiful spirit. It is so refreshing to be able to help people with something that you know they cannot get on their own.
Sarah nelson, one of the nurses, has put together a fabulous four minute video summary of our visit there. Please take a moment to experience a tip of the iceburg of life in Haiti. We will be returning sometime in the next year. If you have an interest in joining us, let me know! Our parent organization is Healing Hands, International.




October 17, 2014
Sunset at the North Pole

My friend Herbert Murphy shared this picture and message that I wanted to pass along - isn't it amazing!!
This is the sunset at the North Pole with the moon at its closest point last week. A scene you will probably never get to see in person, so take a moment and enjoy God at work at the North Pole.
And you also see the sun below the moon, an amazing photo and not one easily duplicated.
You may want to pass it on to others so they can enjoy it.
The Chinese have a saying that goes something like this: 'When someone shares with you something of value, you have an obligation to share it with others!' I just did...your turn!
October 15, 2014
The Southern Festival of Books is a hit!!

Neither rain nor wind would have stopped the lovers of the written word from having a fun and productive weekend at the 25th Anniversary of the Southern Festival of Books here in Nashville! Several thousand authors and readers from many states invaded Legislative Plaza for the three day event. All genres of literature were represented from children to zombies. Scores of workshops, lectures, and readings made an exciting time for all. Exhibit booths filled the promenade featuring many organizations like the one in the picture above.
A local chapter of "Sisters (and brothers) in Crime" had a booth that was visited by many. Among those working and visiting in our booth were (from l to r): J.T. Ellison, Mike Tabor, Lisa Wysocky, Bob Mangeot, Jaden Terrell (hiding), and Alana White. We have a very lively group who meet the first Tuesday of each month at a local bookstore called Book Man, Book Woman in Hillsboro Village. The meetings last about an hour and we usually go somewhere for a snack and discuss the latest trends in reading and writing.
J.T. Ellison has experienced considerable success with her writing since emerging with her first crime novel, All the Pretty Girls, in 2007. She has since written nearly a score of books, the latest to be a collaboration with New York Times best selling author Catherine Coulter, which has just increased her international success.
It seems like only yesterday when a Ms. Ellison scheduled an appointment to interview me about forensic dental identification work at the Tennessee Medical Examiner’s office. Little did I know that I would get to be a character (playing myself) in some of her crime thrillers. Not only did that inspire me in the world of forensics, but also planted seeds of interest to begin a career of writing myself. Thanks, J.T. for the initial interview!!!!
September 24, 2014
Birthday Adventures!
Somebody I know officially became a "senior citizen" in the last few days! The BIG 65!! Is it me or does time seem to be flying faster than light?! What a beautiful Saturday afternoon it was to be able to spend with son Jayson, along with Anna Grace, Maddie, and Emerson at one of their funnest family activities: Grand Ol' Golf and Go Karts. Some of our fair ladies haven't quite mastered the rules/etiquette of golf yet - trying to get them to learn that you have to wait for the ball to stop rolling before you hit it again! And, by the way, where in the rulebook does it say you have to take turns?
Little Emerson was a bit miffed she wasn't tall enough to qualify to run in Nashville's version of the Indy 500. She had to sit on the sidelines while her big sisters took a few laps around the track. Lots of fun and good memories made!




September 17, 2014
UT/UAB Forensics Course Was A HUGE Success!!

What a great crowd we had this past Saturday at the Franklin Marriott Hotel when the University of Tennessee and University of Alabama joined forces for a lecture entitled From the Body Farm to 9-11: New Advances in Forensic Human Identification. We had almost two hundred in attendance, which is no small miracle given the fact that it was a perfect conflict with a college football Saturday afternoon! We were fortunate to have an equal representation of people from Alabama and Tennessee. Realizing that these two schools have met on the third Saturday of October since the beginning of time (well, since the beginning of football anyway!), we all felt good to see such a healthy crowd. We had representatives from medical examiner’s offices, crime scene investigators, Tennessee Bureau of Investigation, law enforcement agencies, dentists, dental auxiliaries, and interested citizens. It was a great cross section of individuals.
We were also happy to celebrate the announcement of a new post graduate program at the College of Graduate Medicine at the University of Tennessee’s Body Farm! What a perfect place to have the program. We were able to introduce our first resident/fellow, Dr. Paige Smalley, from Rome, Georgia, who began the newly launched program just the first of September. Places exist for future expansion into a master’s degree program, the first of its kind in the U.S.
I acted as moderator of our three person team of forensic speakers, beginning our day with an introduction and overview of the basics of human dental identification, how it is done, and when it is used. Dr. Bass followed with interesting cases he has conducted over the years, along with a historical perspective of the creation of the world famous Body Farm dating back to the mid/early ‘70’s. I continued the afternoon discussion with a lecture on Ted Bundy and his contribution to the science of human bite mark analysis. We also presented the first bite mark ever used in a court of law in the state of Tennessee.
Dr. Dick Weems, recently retired professor of radiology at the UAB College of Dentistry, gave an interesting and heart touching lecture of his experiences working to identify the bodies from the North and South towers of the World Trade Center. At 4:00pm on Saturday, the conference room was still filled to capacity, attesting to the interest levels from the course attendees at this captivating lecture.
The three of us, as well as Dr. Murray Marks, forensic anthropologist, compose the faculty of the newly constructed department of human identification at UTK. The only problem we now have is trying to figure out a way to convert Dr. Weems from a Crimson Tide to Rocky Top :) Until then, we will continue to have a work in progress!!!
A special thanks goes out to Tresia Henderson for photos of our project! Tresia not only got lots of good shots during the program but she also shot the back cover of our first book, Walk of Death.
August 26, 2014
I Want To Introduce You To...

Me, Stacy Allen, and Donald Bain
Yours truly here with a new mystery author I'd like to introduce you to named Stacy Allen. Her debut novel Expedition Indigo was published by Fiery Seas Publishing and is the first in her Riley Cooper romantic suspense series. Expedition Indigo introduces Dr. Riley Cooper, an archaeology professor, who is thrust into the world of wreck diving and treasure hunting. She travels to Italy to find The Indigo, a ship that sank off the coast of Sorrento, Italy in 808 A.D.
Stacey is currently Vice President of the Southeast Mystery Writers of America and has a very cool website at www.stacyballen.com.
Along with one of the newest authors is another author who we could call ‘the most experienced" :) Donald Bain is the author of more than 100 books, many of them best sellers. He collaborates with his wife, Renee Paley-Bain, on the USA Today best selling series of original novels based upon the popular television show, Murder, She Wrote. This year is the Silver Anniversary of the print series, which began in 1989. His latest novel Lights Out! will be published in May by Severn House, and his latest novel in the Margaret Truman Capital Crime series, Undiplomatic Murder, has just been released by Macmillan/Forge.
So many great books to read! Be sure to check them out...
August 19, 2014
Join me at Killer Nashville!
I've been looking forward to this weekend for quite some time - it's Killer Nashville time! This is an event held in Nashville that brings together forensic experts, writers, and fans of crime and thriller literature from around the world. And I'm thrilled to share that I will be speaking on Friday, August 22nd, and Sunday, August 24th at the Omni Hotel downtown. I'll post links below if you would like to attend!
Killer Nashville is also offering two reader tracks that will be FREE to the public! The eighteen panels, held over all three days of the conference, include debut novelists, award-winning and best-selling novelists, and more. Hear author Lee Goldberg talk about what goes on behind the scenes with MONK. Hear guest of honor Lisa Jackson and other romantic suspense authors talk about heating things up. Help Murder, She Wrote authors Donald Bain and Renee Paley-Bain celebrate Jessica Fletcher's 25th Anniversary. On Sunday, join award-winning children's author Kimberly Dana for a one-hour talk on teaching kids how to write suspense.
In addition to the two free tracks, admission to both on-site bookstores and all book signings are FREE OF CHARGE. Seating is limited, so first come, first served. General sessions and sessions in the writing and forensics tracks are not included. These require a Killer Nashville full-day or weekend pass.
For more information on how you can attend Killer Nashville or listen to my presentation, please visit www.KillerNashville.com! I'd love to have you join us...
August 13, 2014
A Closer Look At The Ted Bundy Case

Ted Bundy
Ted Bundy became the first person in the United States to be convicted of a capital offense where all evidence against him was circumstantial. All except for the bite mark print left in the buttocks of Lisa Levy, a Florida State University coed in the Chi Omega house in Tallahassee. Bundy, who killed an unknown number of mostly females, most of whom had long brown hair with short bangs, extended his killing spree from the pacific northwest to the deep southeast.
Bundy worked at a call center for suicide prevention and worked next to a woman named Ann Rule, who has since became an internationally known crime writer. She has written a compelling piece of work entitled ‘Stranger Beside Me’ about her experiences working with Ted Bundy, before anyone knew who he was or what his mission might be. I would highly recommend this book for anyone wanting to experience the chilling tales of his life’s story.
My friend and colleague, Dr. Richard Souviron, Chief Forensic Odontologist for Miami/Dade County Medical Examiner’s Office provided key testimony in Bundy’s trial. CBS even made a movie about Bundy’s life story which can probably be rediscovered to this interested on Netflix. Bundy had been enrolled in one year of law school, before flunking out, and decided to represent himself in his murder trial.

Odontologist Richard Souviron explaining bite mark evidence at the Chi Omega trial (State Archives of Florida).
Bundy was a rather charming individual, his social skills were evidently quite enticing to those innocent women who succumbed to his perverted and sadistic rituals of capture, rape, torture and finally murder. It is said that the month before his execution he received over 200 unsolicited pieces of mail from various females around the country, wanting to have some sort of relationship with him.
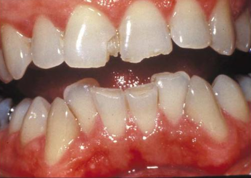
Two things were unique about the bite mark details of the Bundy case. First is the fact that Bundy had a wreck of a mouth and in bad need of a good orthodontist. Secondly, the fact that several of his teeth had broken edges, chips and defective fillings. Another factor in this case was that he bit his victim on the buttocks, which is one piece of flesh where the skin is smooth and unfolded. This would leave a more ideal surface for the mark to have been recorded. Many times we have bite marks on the nose or ear, which are of little evidentiary value because of all the folds and wrinkles.

Ted Bundy's teeth
After Bundy’s electrocution, a precedence was set in courts of law around the country. At that time, only 18 or so States out of 50 had allowed bite mark evidence to be admissible in a court of law. Since that day, January 24, 1989, at 7:04am, when he breathed his last breathe before 2,000 volts surged through his body, all 50 have admitted bite marks as reliable testimony.


