Fall down, go boom.
Ice can be treacherous. I know this. I wear cleats when I do chores and always have my cell phone with me...except when I don't do either. :-)
Saturday I stepped on the icy-but-snow-covered driveway, and slipped. As I fell, I remember thinking "This is not going to end well!"
Instant pain and my arm stopped working right. A friend was with me so she got Melissa, and off we went to the hospital 30 miles away. I was in so much pain but remembered thinking "No one will know me so if I cry and carry on, it'll be okay."
Checked at the emergency desk, and the nurse came to help me remove my coat, which I decided would be my first opportunity to cry. But then Anne the nurse smiled at me. "Now you'll just have more to write about." Gaack. She knew who I was. I put on a brave, authorial smile, as if farming writers live with this level of pain every day.
She parked me in a room and gave me morphine. Ahhhh. A doctor came in. "I know your books. You should visit my kids' school." I smiled again, a brave author high on the nice drugs in my system.
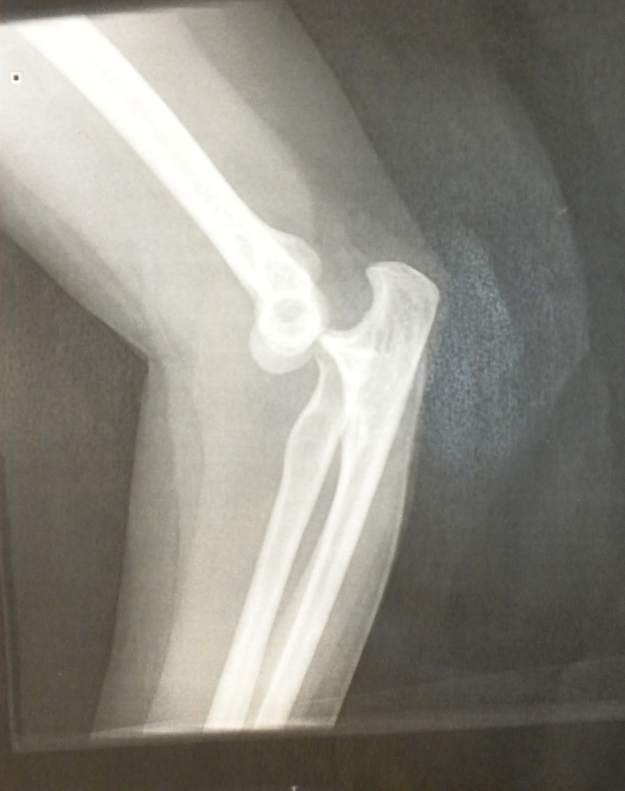
Because I am a memoirist, I am compelled to share the x-ray of my dislocated elbow:
The lower bone is supposed to be tucked in next to the upper bone. I know the bones have names, but I can barely stand to look at this, let alone be accurate at the same time. Melissa, of course, thought the x-ray was totally cool. The less I know about the inside of my body, the happier I am.
Another doctor came in to explain he was going to put the bone back where it belonged. "More pain meds," I pleaded. "Okay" After a few minutes, he began. "No no no no, " I moaned, forgetting to be a brave farmer writer. "More drugs."
Let's just skip over the parts where they put me on my stomach and attached a weight to my wrist so the arm slowly stretched out. Luckily one of the drugs helps you forget. I was aware that Melissa was right beside me, holding my hand and explaining they had to do this. Then SNAP, it popped back into place.
Here's the proof:
I asked Melissa the next day if I'd cried out at all during the procedure. "Are you sure you want to know?"
Shoot. Apparently I did make a bit of a fuss, even though the doctor and nurses were being incredibly gentle with me. My apologies to anyone within earshot.
Luckily, as a writer, I will have the chance to revise this entire episode. In fact, I'm fairly certain the next time I tell this story, I will have made it through the experience wearing a brave, authorial smile, as if farming writers live with this level of pain every day.
Yes, it's true, I do write fiction!
(and I'm also typing with one hand on a split keyboard. signing off to take more meds!)
Saturday I stepped on the icy-but-snow-covered driveway, and slipped. As I fell, I remember thinking "This is not going to end well!"
Instant pain and my arm stopped working right. A friend was with me so she got Melissa, and off we went to the hospital 30 miles away. I was in so much pain but remembered thinking "No one will know me so if I cry and carry on, it'll be okay."
Checked at the emergency desk, and the nurse came to help me remove my coat, which I decided would be my first opportunity to cry. But then Anne the nurse smiled at me. "Now you'll just have more to write about." Gaack. She knew who I was. I put on a brave, authorial smile, as if farming writers live with this level of pain every day.
She parked me in a room and gave me morphine. Ahhhh. A doctor came in. "I know your books. You should visit my kids' school." I smiled again, a brave author high on the nice drugs in my system.
Because I am a memoirist, I am compelled to share the x-ray of my dislocated elbow:
The lower bone is supposed to be tucked in next to the upper bone. I know the bones have names, but I can barely stand to look at this, let alone be accurate at the same time. Melissa, of course, thought the x-ray was totally cool. The less I know about the inside of my body, the happier I am.
Another doctor came in to explain he was going to put the bone back where it belonged. "More pain meds," I pleaded. "Okay" After a few minutes, he began. "No no no no, " I moaned, forgetting to be a brave farmer writer. "More drugs."
Let's just skip over the parts where they put me on my stomach and attached a weight to my wrist so the arm slowly stretched out. Luckily one of the drugs helps you forget. I was aware that Melissa was right beside me, holding my hand and explaining they had to do this. Then SNAP, it popped back into place.
Here's the proof:
I asked Melissa the next day if I'd cried out at all during the procedure. "Are you sure you want to know?"
Shoot. Apparently I did make a bit of a fuss, even though the doctor and nurses were being incredibly gentle with me. My apologies to anyone within earshot.
Luckily, as a writer, I will have the chance to revise this entire episode. In fact, I'm fairly certain the next time I tell this story, I will have made it through the experience wearing a brave, authorial smile, as if farming writers live with this level of pain every day.
Yes, it's true, I do write fiction!
(and I'm also typing with one hand on a split keyboard. signing off to take more meds!)
Published on February 04, 2013 12:08
No comments have been added yet.


