Sloane Leong's Blog
November 2, 2025
Enmity in the Sanctum of the Swelling Sun
Another new piece! This one is larger than the others at 16″x20″, the biggest I’ve worked with watercolor. I had a strong mental image for this and it came out kind of precise because of that. I like it but I want to work more spontaneity into my watercolor work, more pretty bleeds, textures, all the things that make watercolors themselves.
Enmity in the Sanctum of the Swelling Sun // 2025 // watercolor and gouache
November 1, 2025
And The Soul Lay Cindered by Famine’s Wet Flame
A few pieces I added to my website. This first one I finished about a month ago, a continuation of this piece:
And The Soul Lay Cindered by Famine’s Wet Flame // 2025 // watercolor, pencil, and gouache 
This piece was from the end of December 2024 but I forgot to post it:
Spoiling // 2024 // watercolor, pencil, and prismacolor markersThis was also from the end of December 2024, a painting of my partner Tess:
Sacred Rites of Passage // 2024 // watercolor, pencil
October 16, 2025
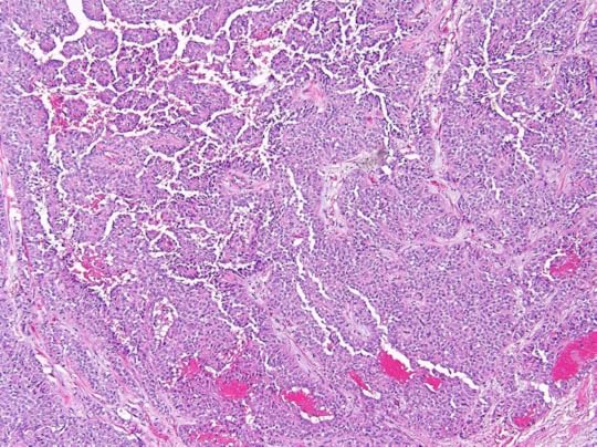
ROOTED IN THE BOWELS OF THE EARTH: Whipple, Wallowing, and Recovery
Solid pseudopapillary neoplasm by Omid Savari, M.D.
“Novels, one would have thought, would have been devoted to influenza; epic poems to typhoid; odes to pneumonia, lyrics to toothache. But no; with a few exceptions… literature does its best to maintain that its concern is with the mind; that the body is a sheet of plain glass through which the soul looks straight and clear. On the contrary, the very opposite is true. All day, all night the body intervenes… But of all this daily drama of the body there is no record… To look at these things squarely in the fact would need the courage of a lion tamer; a robust philosophy; a reason rooted in the bowels of the earth.”
Woolf, On Being Ill
Author’s note: I wrote this because a lot of people reach out to me on social media to ask about my experience having a Whipple. They are either getting one or supporting a loved one who needs to undergo the procedure. Despite this procedure being pretty rare, this request for information happens fairly frequently. I wanted to share my experience and give people an in-depth view of having this procedure and the recovery process while also offering some encouragement. If you’re wondering why this is in second person, its because I initially started writing this in response to someone asking what they could expect with the Whipple. But then I started talking to my past self, a different self than the one writing this paragraph. I hope you find it helpful, whoever you are, and good luck.
You’re doubling over in the moonlight as it turns the warm rocky Sante Fe shrubland into impasto shades of blue, silver, and slate. A sharp, throbbing pain jabs into your lower flank and your stomach cramps in ways you haven’t felt since before you started taking birth control. Its your last visit to see your partner before they move to Portland–to you–so you can live together. This will be the first time you live with someone not your family. That realization makes this final trip heart-poundingly sweet, every moment one of grateful shock. You are so in love it makes you dizzy to think about it for long. It all feels too good, too correct, like a painful, knotted muscle finally loosening. And sure, there’s fear because anything truly life changing is impossible to take in stride. But then your back throbs, a deep pulsing pain. It’s midnight and you’re in the ER. You cry while you wait. Going to the ER reminds you of the handful of embarrassing times you had asthma attacks and were rushed in and put on oxygen. All because you couldn’t manage the most basic aspect of your body: breath. Your partner reassures and calms me. Probably just a UTI, you think.
The doctor on duty orders you a CT scan even though its unusual for a UTI. He wants to make sure there’s no kidney infection. You wait for the results for an hour or two, nerves whittled down by exhaustion. Your partner cuddles with you on the small hospital bed ans you watch Real Housewives of Somewhere, letting the campy drama dampen your anxiety. When the doctor comes back to your room, his eyes are alert and there’s insistent energy as he sits down and looks you in the eye. He confirms you have a UTI but he also found something else incidentally, something you need to get looked at urgently. An orange-sized tumor in your pancreas. This is serious, he says. You say you’ll get it looked at when you get home.
Immediately, he says. You cannot wait.
The pancreas is a vital organ that lies in the upper belly, behind the stomach. It works closely with the liver and the ducts that carry bile.Your partner drives you both home under chilly moonlight and glowing neon signs. You stare out at the scrub and stone, disassociating and then tearily panicking in silence. The landscape feels nightmarish, like the shadows will suck you straight out into the empty desert and disperse you across the sand like the coagulation of dust you are. Santa Fe had become a place vast and magical to you; its where you met your partner in real life, where you started understanding what romantic love really was. But tonight, it suddenly looks brittle and tomb-like. You google the fatality rate of pancreatic tumors. For localized (there is no sign that the cancer has spread outside of the pancreas) the 5-year relative survival rate is 44%. For regional (the cancer has spread from the pancreas to nearby structures or lymph nodes) the 5-year relative survival rate is 16%. For distant (the cancer has spread to distant parts of the body, such as the lungs, liver, or bones) the 5-year relative survival rate is 3%. Pancreatic cancer often presents little to no symptoms before its Stage 4 and fatal. The statistics start to run together through your tears. You don’t feel death that close and yet it might be just around the corner, waiting for you in symptomless silence. A big, cold hollow splinters open in your chest. Your partner reassures you as they drive but their voice becomes gibberish. You are inside yourself, your dying self–you were always dying, yes–but faster now, much faster, and when you’ve only just started living. You try to enjoy the last day of your visit with your partner at an outdoor festival. You listen to a band play in someone’s yard, holding your partner’s hand, swaying, until the mediocre music seeps into your skin and your eyes start to burn. This might be the last concert you’ll see and its not even that good.
You already ended one life earlier this year. You come out to family, friends, and community knowing that, for the majority of them, the truth of you will leave them only one option: to cut you off. But you cannot hide yourself anymore, you cannot exist meaningfully in the sludgy, unmoored mire between their desires and your own. You have been gluttonous, choosing yourself over everyone else. When you come out, over text and phone call and a post online, you get the reactions you expect. Eulogic and angry, disappointed and self-righteous, pity and disgust. They call and plead with you to turn back to god, to not make this horrible soul-destroying mistake. Some simply ghost you. To them, you are committing spiritual suicide, closing off the possibility of afterlife by taking part in the worst of sins. Even more hurtful is that you are forcing them to cut you away, like a spiritual cancer. They cannot risk being tainted by your lifestyle. Later, when you share about your actual pancreatic cancer online, there are no messages from these people. You wonder if they feel vindicated. “And you will suffer with many sicknesses, including a disease of your intestines, until your intestines come out because of the disease, day after day.” It is only appropriate that this tumor will end your life for your numerous sins. You get to be proof, an affirmation of their faith, that your transgression of loving someone you shouldn’t will not go unanswered by god. This is what you get for gorging on all you desire for the first time in your life, heedless of the expectations you’ve shouldered since childhood.
The pancreas releases proteins called enzymes that help digest food. The pancreas also makes hormones that help manage blood sugar.It takes you a month of blood tests, CTs and MRIs to diagnose the tumor. You eat very little, constantly aware of the alien mass in your gut that shouldn’t be there. Sometimes you hallucinate a rippling sensation deep in your abdomen and wonder if its finally metastasizing. If you’re going to wake up one morning and be stage 4, at death’s door at the speed of a blink. In that time, you wonder if you should cancel all your book contracts (you put them on hiatus). You wonder if you should move away from your family (you don’t, too exhausted and afraid). When confronted with the idea of dying, you want to do it alone, maybe by your own hand. You research Oregon’s Death with Dignity Act to see if you’ll be able to qualify. A nauseating, shadowy weight bears down on you heavier everyday you don’t have answers. You blame yourself for how you’ve treated your body, hated it, disconnected from it just to tolerate existence. Its only been a few years since you’ve been able to find pleasure and beauty in your body. You admire its strength and wonder in how it carries you towards the things and people you want. Now all that wasted time spent neglecting it looms at your back, large and reeking as a landfill. Time thins, becomes a brittle shelf of fear and grief you walk across and try not to crack.
You vacilate between suicidal surrender and furious, determined hope. You wonder if you should break up with your partner and grapple with which is crueler: forcing them to watch you die or forcing them to move on without you. You have only been dating a year but your life has changed because of them. The core of you has changed, unearthed and witnessed without any protective shrouds. The sweetness and joy and passion they bring to your life is something you have never experienced before. This is not something that you can let go of now that you’ve had it. You need them. If you only get a few months more with them, you can’t think of a better way to spend the rest of your life.
Pancreatic cancer, often referred to as a silent yet fatal disease, is notorious for its insidious onset and the excruciating pain it can cause during its advanced stages.The mass is identified as a solid pseudopapillary tumor, a growth that presents in younger women, classically as solitary body / tail mass. It is encapsulated inside its own membrane and has not spread. You do not need chemotherapy but you do need to get it out quickly. They give you a few weeks to help move your partner and their ex in. You try and enjoy your last weeks before surgery with your partner and celebrate the milestone of moving in together. There is no preparing for your procedure; it is extreme, hard on the body, and complications will vary. You try not to fixate on it but anxiety hums constantly in the back of your mind. Your partner does their best to keep you grounded in the present. You eat decadently, you dance, you make art. You make peace. You write a will. How you lived your life wasn’t anywhere close to perfect but it was good. The days before surgery were the sweetest you’ve ever had.
The Whipple procedure is also called a pancreaticoduodenectomy. It's often used to treat pancreatic cancer that hasn't spread beyond the pancreas. The Whipple procedure is a complex operation. It can have serious risks.Your parents are there even though they can’t stand seeing each other after their divorce two years ago. Your siblings are there to keep them in check. You tell your partner, a therapist, to ignore them if they start to fight. They don’t need to do a free family therapy session on top of worrying about you. On the day of the surgery, they take you back early in the morning and put you in a gown and grippy socks. You pose sexily for your partner as you wait, your mood anxious but somehow light. There’s no turning back now, what needs to be done will be done. After taking your vitals and going through paperwork, they give you an nerve block in your spine. They miss a couple times, scraping against your vertebrae with a needle. It makes your teeth tickle queasily. Your kiss and hug your partner and family goodbye and then you’re carted off to the operating room.
The Whipple procedure might be done as open surgery. During an open operation, a surgeon makes a cut, called an incision, through the belly to get to the pancreas. This is the most common approach.You focus on your breathing, slow and deep. If you let even a little fear seep in, you worry you’ll stall the procedure with your high pulse. The operating room is piercingly bright and cold. The medical equipment looms overhead, intimidating and arcane. Hawaiian music plays overhead because one of the nurses attending is Hawaiian. It settles you. They tell you to count backwards from 10 and put the mask over your face. The edges of your vision tunnel and then within a few seconds, you’re asleep.
A dreamless 12 hours will pass like nothing for you.
The surgery removes the head of the pancreas, most of the bile duct, the gallbladder, duodenum, and a small portion of the stomach. Once the organs are extracted, surgeons reconnect what is left of the pancreas, bile duct, and stomach to the small intestine.When you wake, your throat is dry. You sit in a long, empty room with a nurse as you get your bearings. The epidural has numbed the pain but you feel distinctly weak, the edges of your body watery and permeable. They cart you to the room you’ll recover in for the next eight days where your partner and family waits for you. You don’t remember much but you feel exhausted relief to feel them around you. A drain runs out of your nose and three run out of your stomach, diverting pancreatic fluid and any extra abdominal fluid that might pool inside you. Your ten inch incision runs from the bottom of your sternum to below your bellybutton. Your surgeon, so kind and encouraging throughout, has hand-stitched instead of stapled the incision to try and keep your belly tattoo aligned; its nearly perfect. He also tells you that your tumor hasn’t spread anywhere else, that its been removed before it could metastasize. This is the ideal result. You are relieved but you feel like you’re still escaping death so it doesn’t quite sink in. Your body feels flimsy and disconnected, like you’re wearing something instead of inhabiting it.
The next few days you’re on strictly water and a little bit of ice. They tell you your newly-reconstructed guts are asleep. They need to wake up little by little. The surgeon has connected parts of your intestine to your stomach, pancreas, and bile duct. The openings are new and raw, the droplets of acid hitting tender enteric flesh not used to such corrosive bile. Your partner sleeps with you on the narrow hospital bed, your arms and legs tangled up as you hide under a blanket they’ve brought from home. The nurses and doctors constantly tell you how sweet you both are; caring for someone with a Whipple is difficult work, especially your partner who has more on their plate than any one person should.
After a few days of ice and juice, you begin trying more substantial foods. You have a hopeful appetite and the anti-nausea medication in your IV makes you bold. You start with small bites every few hours. Then you scarf a few bites of bland hospital pasta and manage to keep it down for a few hours before you vomit it up. Your digestive system isn’t fully awake so the food just sits there in your stomach until its forced to come back out. This becomes a pattern, eating and vomiting, trying to coax your traumatized organs into playing their new role. The cycle is expected but miserable. Your gums start to hurt from all the acid washing them when you vomit. They give you a laxative and you’re finally able to have a bowel movement. Your body is re-learning its functions one step at a time.
On the 7th day, you need to get outside. You’ve been pacing the recovery floor frequently because walking helps with digestion. But you’re sick of the cold white walls and seeing the world through windows. Your hospital room is starting to close in on you and you desperately want to leave. Your mom wheels you down to the courtyard to get some air for the first time. You immediately start to cry, feeling the sun and the breeze on your dry skin. It feels like the sunlight will punch right through you, like you’re made of nothing stronger than tissue paper. You have lost 40 pounds in a week, your body eating away at you because theres so little else to nourish it. Your joints ache with every movement, no padding around the hard points of your body from all the burned fat. Every movement emphasizes a new shocking weakness you didn’t know your muscles were capable of. Your sit bones throb against your wheelchair, the pressure like a bruise. You can’t stand feeling this painfully frail but you can’t imagine how long it will take to recover either. You tell your mom and your partner you want to leave, you need to leave. Your doctor says you can go if you can make a bowel movement and keep down food for a whole day. With determination and careful pacing, you do.
On the 8th day you go home. The drive back is painful, nauseating. You hold a green plastic bag in front of you just in case you vomit. Your dogs howl and cry when they see you and you touch them gingerly, trying to make sure they don’t tangle in your pancreas drain. You gently shoo them out of your room to settle into your own bed, comfy and plush, not like the stiff hospital bed you’ve been in for over a week. For a moment, you think it’ll all start getting better now that you’re home. Then you slowly nosedive. You take Creon tablets to replace the digestive enzymes you’re not getting while your pancreas fluid is diverted into a drain bag. You can’t swallow pills anymore because it triggers you to vomit so you empty the pills into yogurt. The hard little Creon pebbles get stuck in your teeth. Everyday is a plodding pattern of testing the fortitude of your stomach, fighting exhaustion, depressive spirals in between brain fogs.
You take a bite, wait to see if it’ll come back up.
You take a bite, wait to see if it’ll come back up. Your stomach burbles.
You take a bite, wait to see if it’ll come back up. Some organ clenches, churns.
You take a bite, wait to see if it’ll come back up. You hope, hope, hope to keep it fucking down this time…
And then your throat burns as a bile pushes up from your stomach, the soup a touch past your tolerance.
You have never paid this much attention to a singular function of your body. Your doctor recommends around 80 grams of protein a day and you can’t imagine reaching that number with the meager amount you’re able to stomach. You have never been a big eater and now you practically need to eat all day, one bite every 10 minutes just to keep you from passing out. Your brain and stomach are in perfect miserable sync. A calorie deficit equals an equally proportionate deficit in cognition. You want the benefits but you have no appetite, only unending queasiness at the thought of food going down your gullet.
You start vomiting cyclically, every afternoon and every evening no matter what you eat. Nothing stays down. You tiredly empty your pancreas drain bag twice a day. Sometimes you drop the bag or your dogs jump up on you, yanking on the drain line in their claws and tugging painfully on your pancreas where it’s stitched. Your body feels more like a patchy, quivering suit coming apart at the seams then it does something organic and part of you.
“Pain is always new to the sufferer, but loses its originality for those around him. Everyone will get used to it except me,” says Daudet in In the Land of Pain. You wonder if caring for you will break your partner, your repetitive abjection as irritating as it is burdensome. You wonder if they’ll fall out of love seeing you are your weakest, most disgusting, most boring. You can’t even have sex, not for several months, until your incision heals. Even if you were healed enough, sex is the furthest thing from your mind; your frailty and nausea throttle every erotic urge, every sexy thought. The most inoffensive taste, a vague scent, or the wrong pressure on your throat, will send your stomach spinning, which includes sweat, spit, a hint of body wash. Your body cannot stomach any other bodies right now, it can barely handle its own. You are constantly cold and your skin is dry and loose. No touch elicits pleasure, only a reminder of how weak you are, how much you’ve changed, how it hurts.
You have always been fat and it took you until your late 20s to finally settle into it, your 30s to appreciate and revel in your rolls, the apron of your stomach, the weight in your ass and thighs. Now it’s all gone, skin hanging flaccid from your skeleton, scored in new stretch marks made by gravity pulls at the newly deflated flesh. It is hard to see anything appealing to your body beyond its ability to persevere in its survival. You don’t see how your partner, so adoring of your fullness and weight, could find anything about you attractive now.
In Becca J.H’s essay ‘The Meaning of Suffering’, she writes, “Maybe the reason that great artists don’t focus on the pain-state is not because they are disinterested in it, or because art cannot capture suffering, but because they recognize the futility of lingering within severe affliction. Great art makes meaning out of things. If art makes meaning out of illness, it does so in the way we all do: by following the movement out of suffering, by capturing its associated revelations and epiphanies, by pursuing the heightened-consciousness that comes out of pain.”
You are starving and there is no meaning in it. Nausea is its own flavor of pain, a function that ties your brain and gut together in an untangleable braid, commanding all attention to one’s most infantile function. There is pain from weakness alone; every movement a bruising tension on your muscles, radiating soreness in your joints. Since you have no muscle or fat to burn, you feel your flesh turn on your brain. Starvation dampens deep thought. You can’t focus or read and the idea of making art, the practice that has served your soul for its entire existence, seems laughable. You can barely hold a single idea in your head, everything floating into an indistinguishable and shallow fog at the fore of your mind. You feel an overwhelming sense of emptiness, unable to follow lines of thought. Clipped, superficial ideas dissolve into mist. You don’t want to watch movies because you have so little attention to offer; at the worst of times, which is most of the time, you feel like you’re watching globs of colorful light and emotive sound. You have so little capacity to pay attention or to hold a conversation. “To be sick in this way is to have the unpleasant feeling that you are impersonating yourself,” observes Meghan O’Rourke. “When you’re sick, the act of living is more act than living. Healthy people, as you’re painfully aware, have the luxury of forgetting that our existence depends on a cascade of precise cellular interactions. Not you.” You obsess over each churn of your gut, whether you burp or shit, how bloated you feel.
You develop a severe anxiety whenever you puke. There is no sign of when it will happen beyond a sudden hot pressure in your throat as it begins, no watering mouth, no nausea. You are sitting or staring at the TV and then suddenly everything is coming out of you. All your thoughts are consumed by fear of entering another cycle of vomiting, of watching your body degenerate further until you are skin and bones and then nothing. You feel immense guilt that sits on you like a gummy sweat. You cannot control when you backslide, it is up to the whims of your body and nothing else. Your partner nobly cleans up after you, waking up at midnight to change out the trash can you’ve filled. They’re caring for you while also completing their practicum, seeing therapy clients full-time everyday on top of cleaning, cooking, caring for your three dogs, and navigating living with their ex with whom you both unfortunately live.
You end up hospitalized two more times for a week each. You go through the ER, waiting for hours before your admitted. The first time you nearly pass out waiting, caught in another cycle of vomiting.The second time is for a painful pancreatic leak which has caused a small cavity of liquid to expand in your abdomen. Even though you find relief during your stays, they are exhausting and depressing. You thought you were progressing but not so. After, when your return home, a new anxiety begins to tear around in your head. Every time you vomit you begin to have a panic attack. You link the violet surge of hot bile and partially digested food with another miserable stint at the ER, or another endless cycle of random regurgitation. The anxiety spikes your pulse, makes you nauseous just from the fear and anxiety alone. Your body is not your own. You are not in control. It no longer wishes to serve you. In the span of a day, you’ve gone from fully able to a state of helplessness and pain you were not prepared for. Yes, this is the end state for us all and you are no stranger to contemplating your mortality but the practice of sickness is different from the theory of it.
Your partner reminds you daily, hourly, that this pain is only temporary. Its hard to hear your own voice in your head so you echo theirs instead. Your nurse tells you to treat your body like a newborn; it knows nothing of how to eat, to digest, and needs to learn from square one. You don’t punish a newborn for vomiting, for sleeping hours on end, for doing nothing. As someone who often manages lots of group initiatives, creative projects, who makes art and is generally active, doing nothing unsettles you. You are never bored but now, in your cognitive helplessness, you are listless and useless to quench it. You turn to digestible TV shows and the occasional comfort movies, things you don’t feel guilty about dozing off to. This sluggish airheaded possessing you lasts for months, your ability to concentrate whittled away by malnutrition.
At the end of your third month, the sutures keeping your pancreatic drain in place finally dissolve. The drain hole snaps shut thanks to your surgeon’s fancy stitchwork. You can finally eat and digest more substantial food beyond soups, cereals, and yogurt. Progress is incremental but it’s tangible. You don’t backslide. By month four, you feel a flicker of your capacity to think and create return. You go back to work and are carefully eased back into a new project as a lead. You begin to settle into routine again, the motions of work start exercising the atrophied parts of your creative mind. You make your first painting since you started your diagnosis journey almost six months ago. You get a CT scan–a check-in you’ll need annually from now on–and see that there is no regrowth, no new tumors; you’re healthy! It feels hard to internalize that you are okay, the fear of your health taking a surprise turn for the worse always in the back of your mind. But you are. You got to physical therapy to re-strengthen your gutted core and your back which has been painfully overcompensating for having no useable stomach muscles. You get stronger, little by little. It is slow but it is there, your old abilities within reach.
Everyday you are able to do a little bit more. Its piecemeal progress. A year rushes by and you feel better, unlike any state of self you’ve inhabited before. There is so much to recount and yet it is so little, successive improvements you can’t enumerate but have led you once again into capability. You learn how to cook now that you have a stricter diet and a better appreciation for your body. It takes on a quality of specialness you did not feel for it before. It has endured violence from yourself and others but now it has survived its most lethal challenge yet. It is deserving of more than your rote attention and meager maintenance; it is sacred. You celebrate with food, taking little bites of decadence that would have made you vomit on sight before. You have a lot of sex, relearning how to connect with your body and your partner’s body. As for food so for sex, small cumulative tolerances turn to back into ravenous cravings. Gentleness and pain, ever intertwined. You dance, learning to shift around the meager mass of your new weight. You make more art, tapping into the flow of inspiration after a year of blockage.
The biggest change you feel is connection: a bond to your partner, friends, and remaining family, awed by how they’ve carried you through this when you could barely imagine moving yourself forward. One of the biggest influences on a patient’s recovery, your doctor said, was maintaining a positive mental state and getting emotional support. Patients without any sort of support system to keep their spirits buoyed often had worse outcomes and slower recoveries. As monotonous and purposeless as your suffering felt at the time, it was the first time you’d really let the people who care you demonstrate the whole of their love. Not that they hadn’t before but not like this, all at once. You could never imagine deserving such love or asking for it. Had you been in less dire straits, you would have resisted. “I’m fine,” says the fool, uselessly dedicated to prideful isolation and the lie of self-sufficiency. But that love was always there, waiting for you to accept it. Like sunbeams from a hundred different suns focused through a lens aimed at your heart. It bends through the scar tissue and the nightmares and fills your body with light.
October 1, 2025
The Fullness Of Emptying All Thy Faithful Plenitude
Recovering from surgery again, though this time not anywhere near as intense as my Whipple. Still, its been three weeks and I’m just getting my feet under me. I have a longform piece of writing I’m going to share documenting my experience with the Whipple soon that I’ve been working on the past month.
For now, here’s a little collection of art work from the past few months! Some intensive pieces at the top which are more recent and some experiments further below from several months ago.
The Fullness Of Emptying All Thy Faithful Plenitude, watercolor and gouache
Ramulose, watercolor and gouache
Sunprints my partner, Tess and I made
Marbling experiments
August 24, 2025
Wholes and Fragments #1
May 31, 2025
Wholes and Fragments #0
I used to do this on an older blog of mine, collect a bunch screenshots and pages and art I find then sort it and let it coalescence into something thematic. This post is to archive some of those older collections of snippets.
Grażyna Smalej
David Hockney
https://www.ichimurayume.com
May 22, 2025
Honor In Gut and Gore
Today is my 35th birthday and I’m thinking about my body. How’s it endured for me and carried all manner of pain, but also how often I’ve ignored it. Taken it’s annoying but manageable chronic illnesses for granted. 35 is an age, like many before it, that I didn’t think I’d ever reach.
I spent a long time thinking of ways to end my life between the ages of 12 and my late 20s. The sludgy mire of depression coupled with its sibling apathy meant nothing ever came of it beyond a thudding, perpetual, mental anguish dotted with moments of indifferent calm. Within the past 6-7 years, my chronic depression has abated and allowed me access to happiness in a way I can only remember feeling in my early childhood. And it’s only within the last 2 years that I’ve made choices in my life to live in a way more aligned to my own beliefs and desires, to pragmatically move towards that happiness.
When I discovered my pancreatic tumor last year, it was during a time where I’d felt the most eager to live, a feeling so new and precious to me that the sudden threat to it smothered me in familiar darkness. I would read studies, Reddit forums, and articles about the diagnosis: “…pancreatic cancer remains the third-leading cause of cancer-related deaths in the United States… the five-year survival rate for pancreatic cancer is 13%…painful…incurable…” It is a horrific disease. I remember my partner driving me home from the ER after we first discovered it (by accident!) and thinking ‘Wow, I just found the person I’m supposed to be with and now I’m going to leave them behind!’ The weighty cruelty and indifference of existence astounded me in deep way, a sensation I’ve been lucky to only feel a few times in life.
I started thinking about what I would do if I only had 1 or 2 years left to me and it felt like a cold knife was slipping into my chest. Just when I felt I was taking my life into my own hands, building a future with someone I loved, and living according to my own ideals, it was going to be taken away. And not by any person but my own body. Myself. It felt serendipitously evil, as if my body was taking revenge on me for all the harm I’d done to it, all the sadness it had been forced to house over the decades. It couldn’t stomach the change from long-term, plodding hopelessness to the sudden rush of joyful possibility.
It is hard to give anything honor that isn’t divine. As someone raised in a strict religion, humility and the active diminishment of one’s importance and value was a big element of my upbringing. We were servants of God and not even necessary ones. The body was just a living sacrifice. A sacrifice we were lucky to offer. Neither was there any celebration in this religion. No holidays, no birthdays, only solemn observations. If any festivities snuck into my life it was by accident and rare. Attempting to internalize some level of honor and celebration, of feeling my body’s importance, my own importance and value, feels like an act impossible to engage with genuinely. It is counter to all I know. But though I can’t access it yet, I want to try. To think about my body’s specialness and at the very least, give it the dignity of my attention.
In the end, the timing of my tumor’s discovery was incidental even if it felt fatalistic. The tumor could have been growing for years or months, no one knew with these species of growths. It was my good fortune I got it out when I did even if it felt like a death sentence. My body came through for me in ways I couldn’t have imagined. I starved and dehydrated it over and over. The acid from vomiting so much burned the backs of my gums and changed the texture of my teeth. It was needled what felt like hundreds of time, cut up, and stitched it back together. It weathered deep, fearful sadness and persisted through fragility I couldn’t escape. Even with the comprehensive daily care for months from my family and partner, it was a struggle.
Today, my body is strong. My doctor tells me the trajectory of my recovery is that of an ideal patient which shocked me. I felt like I clawed through it so slowly. My partner reminded me all the time of how much I was enduring, how strong I was being, but I didn’t emotionally connect to those facts until now. I went through some shit and I came out the other side better! I can’t help but feel the need to honor my body, to call out its specialness. By separating my body from myself—a useful habit since childhood—, it makes it easier to give it praise.
I lotion the 8 inch scar down my stomach, the smaller incision scars where laparoscopy tools and rubber drains were threaded inside. The line of scar tissue is taut and tugs at the fascia and muscle beneath, firm and knitted. At my lowest weight, I was grayed and dry and saggy, my suddenly devoured muscle causing all my joints to hurt. Now I’ve gotten some fat and muscle back and being at rest in my body doesn’t produce a constant ache. I can lift my wiener dogs up with tiring myself out for the day. I don’t flinch at my dogs playing around me, terrified they’re going to pull my drains loose from the incisions. I feel almost completely at home in my body again and grateful for everything I can do. Feeling the threat of its absence so vividly has left me desperate to do more with my body more than ever. Adorn it, feed it, appreciate it.
I want to keep making things in my life special. It’s hard to create the sacred from scratch. It feels egotistical and false. I easily find specialness and the sacred in people I love, in art or books or film, but when I think about creating it for myself, around myself, I face a wall. Even my own art that I consider of merit doesn’t hold that quality to me. The process of always creating does but it is disconnected from me, within the domain of the Muse. But I’m alive and I’m living, truly living. There’s little else more miraculous than that.
I think, like most things, practice is necessary. I imagine coming from the type of orthodoxy I was raised in, where belief came first, I need to approach it from an orthopraxic perspective. Ritual. Action. Meditation. To build a tangible practice of attention and dignity around what I want to honor. Little by little, I’ll offer my gratitude to the toughest and most fragile parts of me. The insignificant and the crucial. To close the gap between myself and what is sacred, like two sides of a wound meeting to seal a tender opening.
December 5, 2024
2024: Year in Review
Well, let me tell you this was a wild, life-altering year: My partner traveled over 1000 miles to live with me. I found out I had a low-grade cancerous pancreatic tumor and had a Whipple, one of the most complex abdominal surgeries (period!) and the most invasive surgeries I’ve had in my life at the start of October. I’m still in recovery and will be for the next year before I’m normal-normal. In March, I started working full-time at Wizards of the Coast and became a Visual Designer for Magic: The Gathering. A little out of order but whatever. And that isn’t even the half of it but thats all I’ll share for now.
Here’s some more of my work that released this latter half of the year!
Honored to be in Deep Dream: Science Fiction Exploring the Future of Art edited by Indrapramit Das, a fantastic speculative author who I’ve admired for a long time. The story I have in this collection is called No Future But Infinity Itself which follows a guardian-artist and his wife in a far future world where he must make mass-scale art to dissuade a remnant humanity from unearthing its past mistakes. The book copy:
Also astounded that my story The Blade and the Bloodwright was chosen for The Best American Science Fiction and Fantasy 2024 edited by Hugh Howey, John Joseph Adams! I’ve coveted being in one of these collections and it feels good for one of my favorite stories to be acknowledged by these editors. Still amazed by this lol. And the back copy:
“These are dangerous stories. The kind that warp reality and threaten to change the world” warns guest editor Hugh Howey in his introduction. The Best American Science Fiction and Fantasy 2024 promises a treasure trove of audacious characters, daring worldbuilding, and twisted realties. A sibling duo of supernatural hitmen. A traveling spellbreaker and his trusty alligator mount. Superheroes registering for work. Sentient spaceships with an AI-human interface grow up together with their human pilots. From a Korean folk-tale retelling about the goddess of shamans, to a car, resurrected from obsolescence via automancy, for a road trip from California to Maine, these are stories that, for Howey, “challenged my worldview, that made me exercise new mental muscles, and that brought me to tears.”Happy end of year, winter, whatever 
March 14, 2024
Concrete Irrationality
Just a smattering of updates!
First up: I’m honored to be featured in AN OCEAN OF WONDER: THE FANTASTIC IN THE PACIFIC edited by kuʻualoha hoʻomanawanui, Joyce Pualani Warren, and Cristina Bacchilega! A little about the book:
An Ocean of Wonder: The Fantastic in the Pacific brings together fifty writers and artists from across Moananuiākea working in myriad genres across media, ranging from oral narratives and traditional wonder tales to creative writing as well as visual artwork and scholarly essays. Collectively, this anthology features the fantastic as present-day Indigenous Pacific world-building that looks to the past in creating alternative futures, and in so doing reimagines relationships between peoples, environments, deities, nonhuman relatives, history, dreams, and storytelling.
Wonder is activated by curiosity, humility in the face of mystery, and engagement with possibilities. We see wonder and the fantastic as general modes of expression that are not confined to realism. As such, the fantastic encompasses fantasy, science fiction, magic realism, fabulation, horror, fairy tale, utopia, dystopia, and speculative fiction. We include Black, feminist, and queer futurisms, Indigenous wonderworks, Hawaiian moʻolelo kamahaʻo and moʻolelo āiwaiwa, Sāmoan fāgogo, and other non-mimetic genres from specific cultures, because we recognize that their refusal to adopt restrictive Euro-American definitions of reality is what inspires and enables the fantastic to flourish.
As artistic, intellectual, and culturally based expressions that encode and embody Indigenous knowledge, the multimodal moʻolelo in this collection upend monolithic, often exoticizing, and demeaning stereotypes of the Pacific and situate themselves in conversation with critical understandings of the global fantastic, Indigenous futurities, social justice, and decolonial and activist storytelling. In this collection, Oceanic ideas and images surround and connect to Hawaiʻi, which is for the three coeditors, a piko (center); at the same time, navigating both juxtaposition and association, the collection seeks to articulate pilina (relationships) across genres, locations, time, and media and to celebrate the multiplicity and relationality of the fantastic in Oceania.
Art by A.C. EsguerraThe third annual Minicomic Awards virtual ceremony will be held TODAY 3/14 at 3pm PST where FIVE winners will split our $3700 PRIZE POOL! Leslie and I have organized this the past 2 years and we’re excited to fold this into the Co-op so it has more support and longevity. Come celebrate minicomics with us!
I have a short story in Dark Matter INK’s 2024 anthology THE OFF-SEASON ed. by Marissa van Uden & featuring 25 brand-new tales of mysticism, psychedelia, outsiders, obsessions, weird sea life, and more! Pre-orders are available.
The Cartoonist Cooperative turned 1 at the end of February! Here’s an adorable little image of just a small portion of our 800+ (!!!) members to celebrate!
Death in the Mouth Vol 2 is about 75% completed and I’m sending out the first round of backer rewards next week! Here’s the shirts I made for it, very pleased with how they turned out!
And a little bit of paper clay sculpting! I had this idea to make frames but we’ll see how they hold up once I hang them with the thin chains I have in mind…
That’s all for now!
December 15, 2023
2023: Year in Review
A wintery welina to you all! It feels like this year was very fallow creatively because, while I did draw a ton, I was mostly focused on working and saving for 2024 and also doing a lot of organizing! I also used this year to take classes and workshops to dig deeper and renew my creative process. Next year will be focused on 2 collaborative graphic novel projects so I really wanted to focus on absorbing art, fiction, and the creative philosophies of others. Still, combing through my work for the year, I did more than I thought so here’s a little round-up in no particular order.
Leslie and I ran the 2023 Minicomic Awards with your special guest judges Yuko Ota and Ananth Hirsh! Each winner was awarded $1000, a generous prize pool made possible by our wonderful donors! The Awards will now be hosted by the Cartoonist Cooperative and you can see the winners, donors and more on our new homepage! Submissions for the 2024 Awards are already up, too!My team and I founded the Cartoonist Cooperative , a volunteer-run organization that aims to improve and protect the careers of comics workers globally and currently the biggest comics rights movement in history! We also have brand new Member Benefits and are adding more all the time which we’re very proud to offer!
I was invited to give virtual craft talks and workshops for places like Center for Cartoon Studies and Clarion West which was super fun!I started working for Wizards of the Coast as a Visual Writer designing art for Magic the Gathering cards. Incredibly fun job and the perfect niche little job for a cartoonist!My story “Paradise” was featured in
BRAVE NEW WEIRD: The Best New Weird Horror
, Volume One published by the wonderful Tenebrous Press.I was commissioned to write a story for an unannounced MIT Press anthology which I’m really stoked for people to read. Not sure when it’ll be out yet but it was a story that took up a lot of my attention this year and I’m happy with how it came out!Death in the Mouth Vol 1 made the 2023 Locus Recommended Reading List and won a
Australian Shadows Award
!
I mentored a good grip of cartoonists and comic writers through the Unicorn Authors Club where I coach and also freelance via my website. It’s so rewarding to see what other artists are working on and trying to help them to find connect to their work and themselves in a deeper way. Also just uncovering how the industry works for those not embedded in it, it can be so opaque to new folks! If you nee career or comics coaching or editing, hit me up here.
Prism Stalker: The Weeping Star
, the 2nd volume in my indigenous sci-fi adventure series came out in August! Here’s the animated trailer for Vol 1 again because it’s just that sick (and you can’t forget the original book soundtrack by Nomie!)! Oh yea and some posters I made for my book tour…
I crowdfunded Death in the Mouth Vol 2 successfully with my co-editor Cassie Hart! It was a bit of a pain switching from Backerkit to Kickstarter right at launch but we pulled it out in the end! Here’s the trailer for the book, made by Darius Ou and our beautiful cover by Jeffrey Kam!
The Blade and the Bloodwright came out from Lightspeed Magazine! Its a Pasifika-inspired dark fantasy short story about a magical woman who is a weapon of mass destruction, island nations at war, and the woman’s envious protector!Leslie and I collabed on a short comic for a VIZ horror anthology called
BETWIXT
! This was such a blast and always a dream to work with my bestie on comics
My novella
With the Blade as Witness
came out in Interzone #296! You might remember this far-future indigenous mech short story from awhile ago…well, it’s been DOUBLED in length! I wasn’t done with this story and im excited about the shape its taken now!
I put together a Cronenberg fanzine called
Murdered Futures
with a bunch of cool authors and artists! Use the password ‘ephemerol’ to download it.Sold my story “Last Resort” to the Dark Matter Presents: The Off-Season anthology!I said this up top but…I/we sold 2 collaborative graphic novels! One I’m writing with Leslie Hung drawing and one I’m drawing with Brian Evenson writing
I got to draw and design a cover for my friend Porpentine’s novel, Serious Weakness!
I attended the Native American Media Alliance TV Writing Workshop and was awarded a
Native American Writer Accelerator Grant
through them and Netflix! An incredible surprise! I also attended NAMA’s film festival LA Skinsfest which features exclusively work by native creatives! It was amazing!
I was featured in the first issue of
Gladiolus Magazine
, run by powerhouse Jamila Rowser!I read for the LA Times Book Prize again with fellow judges Zach Hazard Vaupen and Nero O’reilly-Villagallos! So many good comics as always, its going to be hard to choose just a single standout.Not a highlight but a pivotal moment in my life this year: I lost my grandma, a sweet and loving woman who always supported me and all her loved ones. She’d been in a care home for several years, hanging on despite all her health issues. I don’t really like sharing much about my personal life but this changed me, as did my grandpas death and struggle up to it back in 2019. That generation of my family is now gone and with that comes a new weight for me to carry, grief but also a sense of commitment to my life, loved ones and my work. Here’s their beautiful faces in their youth:
I also lost my good friend Akira of almost 14 years. Akira was a serious lady and a loyal protector. I’m gonna miss her. Here’s a little drawing and poem I wrote about her…
Some favorite things I watched/read this year though I didn’t watch many new things:
Comics: The Extraordinary Part: Book One: Orsay’s Hands by Jerome Mulot and Ruppert, Blood of the Virgin by Sammy Harkham, The Great Beyond by Léa Murawiec, CODA by Si Spurrier and Matías Bergara, Doctor Strange: Fall Sunrise by Trade Moore, A Guest in the House by Emily Carroll, #DRCL midnight children, Vol. 1 by Shin’ichi Sakamoto, Prokaryote Season by Leo Fox, Social Fiction by Chantal Montellier
TV: Pluto, Jujutsu Kaisen, Beef, Reservation Dogs, Succession, Scott Pilgrim Takes Off, Barry, I’m a Virgo, Dead Ringers
Movies: Killers of the Flower Moon, Anatomy of a Fall, The Boy and the Heron, May December, John Wick 4, Tar, Beau is Afraid, Teenage Mutant Ninja Turtles: Mutant Mayhem, Suzume, May December, Napoleon, Passages, The Iron Claw, Perpetrator, Rotting in the Sun
Games: The Legend of Zelda: Tears of the Kingdom, Baldur’s Gate 3, (I put no effort in digging for indie games this year sadly)
Books: Wilding by Melanie Tem, The Wall by Marlen Haushofer, Villette by Charlotte Brontë, Between Two Fires by Christopher Buehlman, Future Home of the Living God by Louise Erdrich, Twins: Dead Ringers by Bari Wood, Serious Weakness by Porpentine Charity Heartscape
Remember when I said I wanted to move to LA last year and had a lead on a TV writing gig? Lol. Lmao. Maybe in a few years when stuff gets back to “””normal””” in LA T_T.


